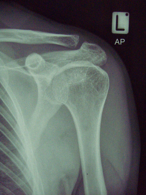
I’m having a Bankart repair done on my shoulder on Monday. Below are some photos of my shoulder. Uunfortunately you can’t see much damage as it’s the soft tissue which needs repaired. My shoulder pops out of the socket on a regular basis ever since I was body checked in a non-contact ice hockey game. I even managed to dislocate it picking up a bottle of coke the other day!
Here is a video explaining the type of surgical procedure I’ll probably be getting.
